服务投诉与监督热线:40001-95522 国家三级综合医院 省市医保定点医院

当前位置:首页 > 详情页



重视身体急救信号,小心“大脑杀手”脑胶质瘤

来源:极目新闻 时间:2023年07月10日 作者: 浏览量:

极目新闻记者 曹洋

通讯员 李宁 林国山

实习生 魏伊琳

近日,52岁的脑瘤患者刘女士(化名)在手术后十余天,迎来了出院的日子,在家人的搀扶下,刘女士走出了医院。

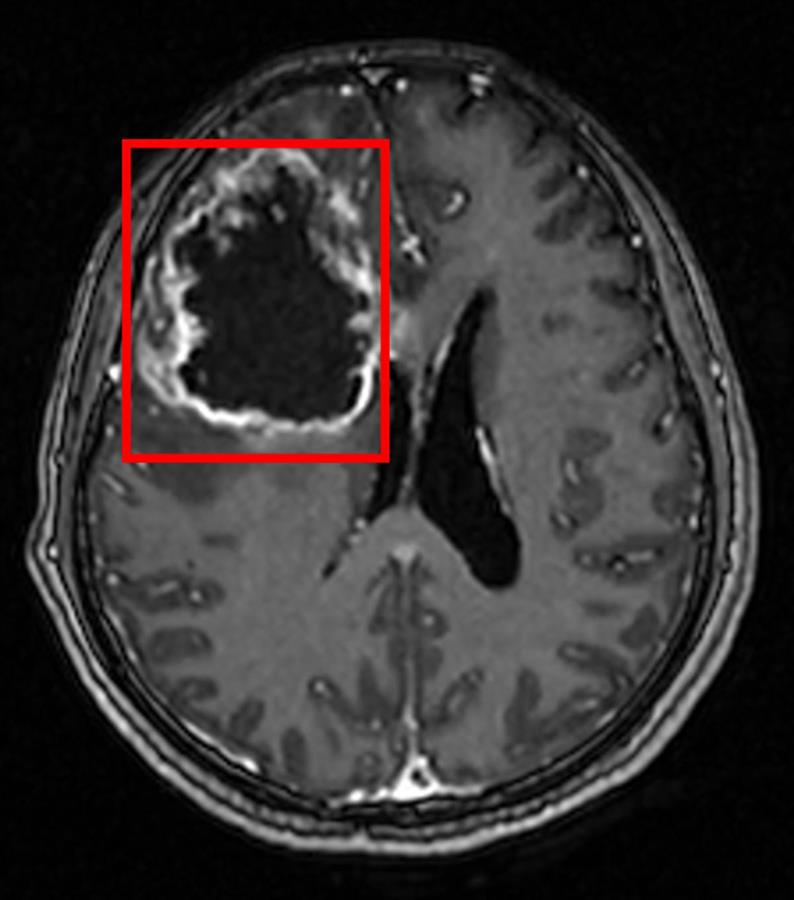
1个多月前,刘女士出现头晕、头痛、嗜睡症状,且精神非常差,10多天后这种症状明显加重,并伴有恶心、呕吐,去医院做头部磁共振检查发现,刘女士大脑右侧额叶巨大占位,医生怀疑是肿瘤性病变合并脑水肿。经过进一步检查后诊断,刘女士脑部的肿瘤符合胶质瘤的特点,肿瘤直径约6厘米。

直径6厘米的脑胶质瘤(通讯员供图)

刘女士的肿瘤恶性程度高,要尽可能地切除肿瘤,以保证生存期,同时,从生存质量来讲,也要尽可能地保留脑功能区,手术不仅棘手,难度也很大。

泰康同济(武汉)医院神经外科首席专家、武汉大学人民医院神经外科首席专家刘仁忠教授为刘女士进行了右额叶胶质瘤切除术。由于显微镜下颅内操作的空间非常狭小,既要完整地切除肿瘤,又要尽量避免损伤正常脑组织,保护神经功能,手术难度可想而知。另外,胶质瘤的肿瘤部分和正常脑组织分界不清,如何在显微镜下仔细辨别,需要手术医生丰富的临床经验。历时4小时,不仅成功切除右侧额叶巨大肿瘤,还精准保留了功能区及重要血管。

刘仁忠教授手术中(通讯员供图)

术后,在神经外科医护团队的精心治疗下,刘女士恢复情况良好,没有出现手脚无力、言语不清等并发症,也没有出现思维减退及情感障碍。目前刘女士正在进一步恢复中,后续还需进行放化疗等相关治疗。

刘仁忠(右三)在泰康同济神经外科病区查房(通讯员供图)

据泰康同济(武汉)医院神经外科赵斌杰主任介绍,脑胶质瘤是大脑和脊髓神经胶质细胞恶性变性而来的神经上皮肿瘤,是最常见的原发性颅内肿瘤,也是神经外科治疗中最棘手的难治性肿瘤之一,被称为“大脑杀手”。据悉,我国脑胶质瘤年发病率为7至10人/10万人。

对于脑胶质瘤的预防和预警,专家给出几点提示:

1、保持良好的生活习惯和健康的饮食,可以帮助预防和延缓疾病的发生。

2、在日常生活中,要留意身体的异常症状,如头痛、呕吐、眩晕、视力模糊、痴呆、肌肉无力等,尤其是这些症状持续时间较长或频繁发生时,应及时就医。另外要注意观察行为和认知能力的变化,如记忆力下降、注意力不集中等,这些可能是脑部胶质瘤的早期症状。

3、及时处理和纠正脑部外伤和感染,这些情况可能增加胶质瘤的风险。

4、要定期进行体检,特别是脑部检查,如CT扫描、MRI等。尤其是有家族遗传病史或其他相关风险因素的人群,建议定期进行脑部检查。