您所在的位置:泰康同济(武汉)医院 > 新闻动态 > 医院动态
来源: 时间:2020年07月21日 作者:系统管理员(勿修改) 浏览量:
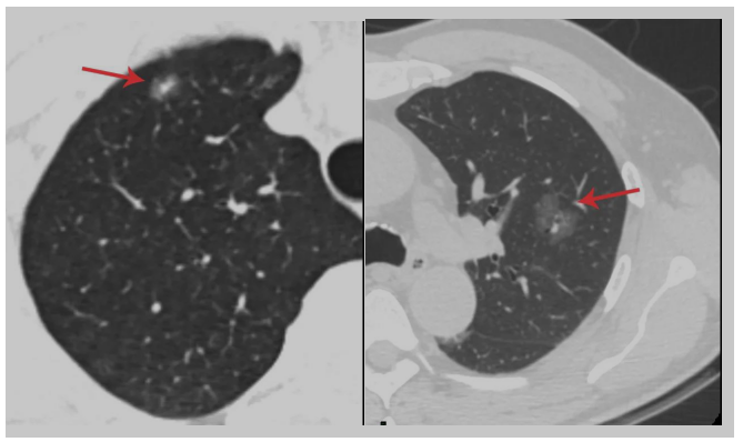
肺部小结节,是做胸部CT检查经常可以遇到的结果。在今年新冠肺炎疫情的影响下,大家对此格外关注,查出来后往往忐忑不安。
那么,什么是肺小结节?为什么会出现这个情况?它是不是就是肺癌呢?
01 什么是肺小结节
肺结节是影像学上的一个术语,其定义为直径≤3 cm的局灶性、类圆形、密度增高的实性或亚实性肺部阴影,可为孤立或多发。肺结节按密度分为纯磨玻璃结节、部分实性结节、实性结节。

打个比方,从CT上看这些结节相当于纯沙子、有石头的沙子、石头。它的本质可能是炎症、出血、组织增生,甚至是癌前病变。从恶性概率来看:部分实性结节>磨玻璃密度结节>实性结节。
02 为什么会得肺小结节
当肺泡腔存在液体渗出、慢性浸润、出血、新生物时,都可能出现肺小结节。有8种因素导致肺小结节发生:
1、主动吸烟
2、被动吸烟
3、职业因素
4、空气因素
5、电离辐射
6、饮食与营养因素
7、既往疾病因素
8、遗传因素
03 发现了肺结节该怎么办
拿到影像学报告发现了肺小结节,不管是一个还是多个,先不要过于恐惧。因为九成以上的结节是良性的,可能是炎性肉芽肿、出血、错构瘤、肺软骨瘤、肺纤维瘤、肺动静瘘或支气管囊肿等。只有极少部分是恶性的,即使是癌症,大部分也是比较早期的。
所以,当查出肺小结节后,首要任务就是找有经验的呼吸内科、肿瘤或胸外科专科医生来鉴别其良恶性,提供专业的诊断及治疗意见。但是,也不要麻痹大意,对其完全不理会,万一是肺癌呢,更需要早发现早诊断早治疗。
对于肺小结节的处理,临床上有专业的肺结节管理指南,诊疗流程较为复杂,对于患者来说,并不需要知道那么多,把繁琐的事情交给专业的医生就行,自己只需要记住:大于8mm的肺结节,需要到医院治疗;小于8mm的肺结节,定期复查。
那么,小于8mm的结节,该多久复查呢?相当一部分有肺结节的人,担心自己的肺结节是恶性的,或者短期之内变成恶性肿瘤。其实,肺结节有它的生长规律,需按照专业意见进行合理的复查、随诊。一般来说,结节小于5mm,一年随访一次胸部CT;结节在5-8mm之间,3至6个月随访一次胸部CT。
04 呼吸内科专家提醒

刘勇谋
泰康同济(武汉)医院呼吸与危重症医学科主任,主任医师呼吸与危重症医学科硕士,主任医师
专业特长:擅长肺部感染、支气管哮喘、慢性阻塞性肺疾病、肺癌、睡眠呼吸暂停综合征、支气管扩张的诊治及呼吸危重症的抢救。
学术任职:中国医师协会呼吸分会委员、中华医学会北京分会呼吸专业委员会委员、中国残疾人康复学会肺康复专业委员会委员、中国控制吸烟协会控烟与防治肺癌专业委员会委员、亚洲冷冻治疗协会委员、原总参谋部传染病与呼吸内科专业委员会副主任委员、原总参谋部重症医学急救医学与麻醉学专业委员会常务委员、联合参谋部高级职称评审及北京市科委科技项目评审委员会委员。
肺小结节就诊时,需要准备电子版CT(DICOM)!
因为肺小结节的影像特性,有时只能在电脑上看清,打印出来的胶片难以全面评估。肺小结节良恶性评判、治疗方案选择离不开电子版CT,通过打开DICOM,可以全面、动态地观察和测量结节的形态、大小、CT值;所以就诊和随访一定要携带电子版胸部CT。外地朋友可在当地医院放射科索取电子版CT,通过光盘或U盘存储携带。
05 哪些人需要重视肺小结节
肺癌的高危人群需要重视肺结节,建议每年进行CT检查。那么这些高危人群是哪些人呢:
年龄≥40岁且有以下任一因素者:
1.长期吸烟。吸烟≥400支/年(或20包/年),或曾经吸烟≥400f支/年(或20包/年),戒烟时间<15年;
2.工作环境粉尘颗粒物多或高危职业(如石棉、铍、铀、氡等接触);
3.慢性阻塞性肺疾病、弥漫性肺纤维化或既往有肺结核病史;
4.罹患恶性肿瘤或有肺癌家族史。
06 电磁导航支气管镜肺活检
如果怀疑是早癌的肺小结节,一般是要做肺穿刺活检来明确诊断的。电磁导航支气管镜,就像汽车上的导航仪,精准指导支气管镜操作达到病灶并取材活检。这项技术已非常成熟,安全性高、准确率高。整个过程在全麻下进行,检查过程完全没有感觉。如果确定肺癌的诊断,也可以在镜下进行热消融治疗或为开胸手术标定清楚部位,便于手术医生准确找到病灶。

呼吸与危重症医学科刘勇谋供稿
社会服务部编审